Tech sector continues to shed jobs as Dropbox lays off 500
Employees affected by the Dropbox layoffs will get 16 weeks pay as severance, plus an additional week's pay for every year of tenure.
Employees affected by the Dropbox layoffs will get 16 weeks pay as severance, plus an additional week's pay for every year of tenure.
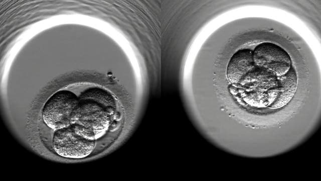
Sperm-injecting robot used to create babies in scientific breakthrough
According to the MIT report, engineers used a Sony PlayStation 5 controller to operate the robot.
According to the MIT report, engineers used a Sony PlayStation 5 controller to operate the robot.
People spent 24% more time on Instagram after launch of AI-powered Reels, Zuckerberg says
People are spending even more time on Instagram due to short-form video content they’re seeing in their feed through AI recommendations, according to Meta CEO Mark Zuckerberg.
People are spending even more time on Instagram due to short-form video content they’re seeing in their feed through AI recommendations, according to Meta CEO Mark Zuckerberg.
ChatGPT: What you should know about the AI chatbot and its impacts, both good and bad
There has been a lot of attention over ChatGPT, as well as its impact on not only education, but other facets of life as well. Here's what you should know about the relatively new chatbot technology, as well as its impact on society, and people's concerns about it.
There has been a lot of attention over ChatGPT, as well as its impact on not only education, but other facets of life as well. Here's what you should know about the relatively new chatbot technology, as well as its impact on society, and people's concerns about it.
Senators look to ban kids under 13 from social media in bipartisan bill
The legislation would also reportedly set restrictions for how tech companies use algorithms on social media to serve minors. Here's what to know.
The legislation would also reportedly set restrictions for how tech companies use algorithms on social media to serve minors. Here's what to know.
Lost iPhone survives 33 days under water off Hawaiian coast
A Minnesota man gave up on retrieving his iPhone after dropping it while on vacation, but the phone had a lot more endurance than he thought.
A Minnesota man gave up on retrieving his iPhone after dropping it while on vacation, but the phone had a lot more endurance than he thought.
AST SpaceMobile completes first space-based voice call using smartphones
AST SpaceMobile parnered with AT&T, Rakuten, Vodafone
AST SpaceMobile parnered with AT&T, Rakuten, Vodafone
Tinder trouble: Man charged with impersonating deputy on dating app
The images showed him wearing a deputy's uniform, and one image showed him carrying a loaded gun, New Mexico authorities said.
The images showed him wearing a deputy's uniform, and one image showed him carrying a loaded gun, New Mexico authorities said.
Twitter restores blue check marks for dead celebrities including Kobe Bryant, Anthony Bourdain
Twitter says these celeb accounts received the status symbol because they paid for a subscription and verified their phone number.
Twitter says these celeb accounts received the status symbol because they paid for a subscription and verified their phone number.
Red Cross urges gamers to obey laws of war while playing first-person shooters: 'Even wars have rules'
The humanitarian group wants to fight against the normalization of war, even for people playing video games on their couches.
The humanitarian group wants to fight against the normalization of war, even for people playing video games on their couches.
Study finds how fast new AI tech can crack your passwords
This new AI program can guess more than half of all commonly used passwords in minutes.
This new AI program can guess more than half of all commonly used passwords in minutes.
Twitter verification blue checkmarks reportedly reappearing for some users
Twitter removed the blue marks last week from accounts that don’t pay a monthly fee. But the marks mysteriously returned for many highly followed accounts over the weekend.
Twitter removed the blue marks last week from accounts that don’t pay a monthly fee. But the marks mysteriously returned for many highly followed accounts over the weekend.
How scammers are using your Snapchat and TikTok posts in their AI schemes
AI scams that employ synthetic voice and images pull data from TikTok, Facebook and Snapchat to fabricate fake hostages' voices and images, according to a security adviser.
AI scams that employ synthetic voice and images pull data from TikTok, Facebook and Snapchat to fabricate fake hostages' voices and images, according to a security adviser.
AI is teaching the Ford Mustang Mach-E how to drive
The Ford Mustang Mach-E has been going to driving school.
The Ford Mustang Mach-E has been going to driving school.
Misinformation machines? AI chatbots can spew falsehoods, even accuse people of crimes they never committed
"AI poses risks to fundamental rights and even the physical safety of our country's citizens," one legal expert says.
"AI poses risks to fundamental rights and even the physical safety of our country's citizens," one legal expert says.
YouTube rolls out updated policy for eating disorder-related content
YouTube introduced the new changes this week to better manage video content about eating disorders.
YouTube introduced the new changes this week to better manage video content about eating disorders.
These jobs are safe from the AI revolution — for now
Jobs involving manual or outdoor labor or specialized knowledge are less likely to be replaced by AI-informed automation.
Jobs involving manual or outdoor labor or specialized knowledge are less likely to be replaced by AI-informed automation.
Taxidermy bird drones aim to assist, advance wildlife research
Researchers hope to expand what they learn from these taxidermy bird drones to improve fuel efficiency in aviation and possibly into assisting space exploration.
Researchers hope to expand what they learn from these taxidermy bird drones to improve fuel efficiency in aviation and possibly into assisting space exploration.
Have ChatGPT skills? 9 in 10 companies hiring want you, survey finds
A recent survey found that businesses are seeking employees with ChatGPT experience, with 30% saying the need is urgent. Companies are looking to hire "prompt engineers" and some are offering starting salaries exceeding $200k.
A recent survey found that businesses are seeking employees with ChatGPT experience, with 30% saying the need is urgent. Companies are looking to hire "prompt engineers" and some are offering starting salaries exceeding $200k.
Twitter starts removing blue check marks from users who don’t pay
Twitter will require users to pay a monthly fee to keep the blue check mark. The social media giant had about 300,000 verified users under the original blue check system — many of them journalists, athletes, and public figures.
Twitter will require users to pay a monthly fee to keep the blue check mark. The social media giant had about 300,000 verified users under the original blue check system — many of them journalists, athletes, and public figures.



















