Sandy Hook parent "looks forward" to facing Alex Jones in court
For years, the group peddled claims on its massive online platform that the Sandy Hook Elementary mass shooting was a “hoax.”
Video: Off-duty officer pulls gun on other driver after being rear-ended
A driver who was following the off-duty police officer caught Tuminelli on his own dashcam.
Richardson man arrested for role in Capitol riot, threatening to assassinate Alexandria Ocasio-Cortez
The FBI announced Friday the arrest of a Richardson man, for his role in the riots at the U.S. Capitol earlier this month.
Texas AG Paxton sues Biden administration over deportation freeze
The lawsuit challenges the 100-day moratorium on deportations.
Harris Co. doctor charged with stealing COVID-19 vaccine vial says it would have 'expired'
The laywer for a fired Harris County Doctor who is being charged with stealing a vial of COVID-19 vaccine is firing back.
Texas man turns himself in, faces charges connected to U.S. Capitol riot
According to the FBI, he has turned himself in to the San Antonio FBI at the Austin Resident Agency Office.
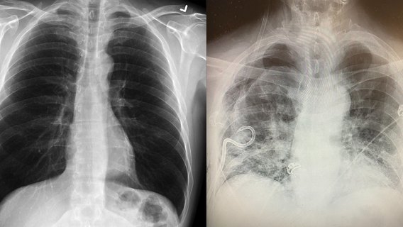
Texas surgeon noticing some post-COVID-19 lungs have more scar tissue than smokers’ lungs
A surgeon in Texas revealed she’s seeing a pattern of lung scarring in some patients who have had COVID-19 that’s worse than what she sees in smokers’ lungs.
Capitol rioter threatened to shoot his kids if they told FBI about DC trip
'If you turn me in, you’re a traitor and you know what happens to traitors … traitors get shot,' he allegedly said.
Second Amendment demonstration at Texas State Capitol despite closure
Demonstrators at the Texas State Capitol, most of them with the "boogaloo" movement, said they came to advocate for Second Amendment rights.
Fort Worth man charged with murder after shooting suspected thief
A Fort Worth man who told police he was tired of people stealing his property is now facing a murder charge. He shot and killed a woman who may have been trying to take a wagon from his yard.
Irving couple charged with murdering 8-year-old boy, violently abusing him
A woman and her boyfriend are charged with murdering her 8-year-old son after Irving police say he was violently abused for several days.
Mother killed, 3 deputies shot in Midtown nightclub parking lot; suspect charged
Houston police say charges have been filed against a 25-year-old man after a shooting in the parking lot of a Midtown nightclub left a woman dead and three deputies injured.
15-year-old charged with beating his mother to death in McKinney
A 15-year-old boy has been charged with murdering his mother in their McKinney home early Sunday morning.
Pastor dead, 2 hurt in shooting at East Texas church
A pastor was killed and two other people were injured in a shooting at an East Texas church Sunday.
Army drill sergeant found dead in car in Texas, was shot multiple times: reports
Sgt. Jessica Mitchell's shooting death followed that of her 18-year-old brother in 2017, a report said
Texas judge dismisses suit aimed at overturning Biden's victory in November election
A Texas judge nominated by Trump has dismissed a lawsuit filed by Texas Congressman Louie Gohmert and a group of GOP electors from Arizona that aims to give Vice President Mike Pence the power to overturn the results of the November election.
Texas father shoots, kills intruder holding 2 children at gunpoint
Police say the homeowner fired 'in protection of his young children'
Man, 22, charged with murder in deadly shooting of sister in NE Houston
Police say a man has been arrested and charged in the deadly shooting of his sister at an apartment complex in northeast Houston.
Legal fight: Girl Scouts battle Boy Scouts in escalating recruitment war
Competition between the Boy Scouts of America and Girl Scouts of America has intensified as the Boy Scouts organization has unfairly recruited girls, according to legal briefs.
‘We had our time and it was wonderful’: Husband writes wife love letter before dying from COVID-19
Sonya Kypuros tears up thinking about the last words her husband emailed her from the hospital before dying of COVID-19.



















