Mukwonago clerk earns international honor while living with mechanical heart
Mukwonago clerk earns international honor while living with mechanical heart
Mukwonago Village Clerk Lana Kropf is urging others to ?listen to your body" after surviving multiple heart attacks and strokes in her mid-30s ? all while achieving one of the highest honors in her field.
MUKWONAGO, Wis. - Mukwonago Village Clerk Lana Kropf is urging others to "listen to your body" after surviving multiple heart attacks and strokes in her mid-30s – all while achieving one of the highest honors in her field.
What we know:
Earlier this month, Kropf became one of fewer than 4,500 "internationally certified municipal clerks" worldwide, a designation recognizing her expertise in local government and mastery of municipal codes and laws.
"I mean business. I want to do a good job," Kropf said.
FREE DOWNLOAD: Get breaking news alerts in the FOX LOCAL Mobile app for iOS or Android
Her accomplishment comes after a series of medical crises nearly ended her life.
In December 2023, Kropf went to the emergency room with back pain and learned she had suffered a heart attack. Four days later, she had another, more severe one.
Two strokes followed in the weeks that followed.
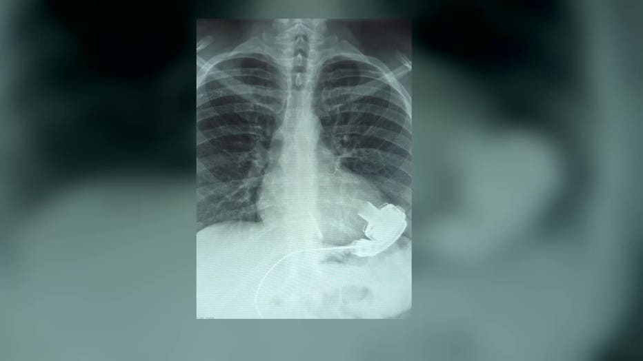
Doctors eventually determined she needed a left ventricular assist device, or LVAD – a mechanical heart implanted in her abdomen to keep her alive until she can receive a transplant.
What they're saying:
"There is a turbine in my heart," Kropf explained. "They put a hole on the left apex."
SIGN UP TODAY: Get daily headlines, breaking news emails from FOX6 News
Her family was stunned.
"At night, I actually get plugged into the wall," she added. "I’m kind of like a transformer in a way."
While recovering, Kropf worked extra hours into her studies for the international certification. She has served as Mukwonago’s clerk-treasurer for the past nine months.
"You’re not going to get anything done in this world with a negative attitude, right?" she said.
Kropf said there are more people living with mechanical hearts than there are internationally certified municipal clerks. She hopes to receive a transplant in the next few years, but, right now, is focused on budgets, tax bills and upcoming elections in the village she serves.
The Source: The information in this post was collected and produced by FOX6 News.